Why Babesiosis Matters

Babesiosis is a tick‑borne protozoal disease in dogs caused by parasites of the genus Babesia.
These parasites invade a dog’s red blood cells, leading to anemia, organ stress, weakness, and in severe cases — collapse and death.
It is most often spread by the brown dog tick (Rhipicephalus sanguineus) but can also be passed by blood transfusions, dog fights (blood exposure), and from mother to pup during pregnancy.
The disease is found worldwide — common in tropical/subtropical regions, but also reported in parts of the U.S., Europe, Asia, and Africa.
How Dogs Get Babesiosis

- Tick bites → the main cause (ticks feed on blood and inject the parasite).
- Dog fights → if there’s blood contact.
- Blood transfusions → if donor blood isn’t screened.
- Pregnancy (rare) → infected mother to puppies in the womb.
Symptoms of Babesiosis in Dogs
Babesia infection can range from mild to life‑threatening depending on the strain (B. canis, B. gibsoni) and the dog’s immune system.
Mild to Moderate Cases:
- Fever
- Weakness, lethargy
- Poor appetite
- Weight loss
- Swollen lymph nodes
- Pale gums (anemia)
Severe Cases:
- Dark, tea‑colored urine (red blood cell destruction releasing hemoglobin)
- Jaundice (yellow gums/eyes)
- Collapse, rapid breathing
- Swollen abdomen (enlarged spleen/liver)
- Shock and death without treatment
When to See a Vet 🩺
Go to the vet immediately if your dog shows:
- Sudden anemia or pale gums
- Dark urine or jaundice
- Severe lethargy or collapse
- Unexplained fever with recent tick exposure
Babesiosis can advance rapidly — don’t wait.
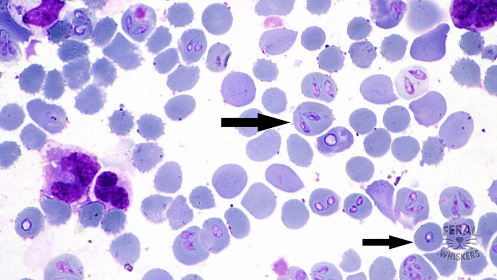
Diagnosis
- Blood smear → parasite seen inside red blood cells (classic sign).
- PCR testing → confirms species.
- Blood tests → show anemia, low platelets, organ stress.
Veterinary Treatment
Babesiosis is treatable but needs fast, aggressive management:
- Anti-parasitic medications:
- Imidocarb diproprionate (for B. canis).
- Atovaquone + azithromycin (most effective for B. gibsoni).
- Antibiotics → sometimes combined for mixed infections.
- IV fluids → prevent dehydration + organ stress.
- Blood transfusions → if anemia is severe.
- Supportive care → hospitalization for critical cases.
Note: Some Babesia strains (esp. B. gibsoni) can persist and cause chronic low‑level infection even after treatment.
Holistic Support 🌿
Holistic care builds resilience, supports red blood cells and immunity, and helps dogs recover from anemia.
🥣 Healing Diet for Babesiosis Recovery
Focus on iron, antioxidants, and immune-strengthening foods.
- Iron-rich foods → beef, liver (in moderation), spinach, pumpkin seeds.
- High-protein → chicken, turkey, eggs.
- Antioxidants → blueberries, broccoli, carrots.
- Omega‑3s → salmon, sardines, fish oil reduce inflammation.
- Bone broth → restores minerals, supports hydration.
👉 Immune & Anemia Recovery Recipe
- 1 cup boiled lean beef or chicken
- ¼ cup beef liver (cooked, chopped small — not too much, 1x per week)
- ½ cup mashed sweet potato (energy + antioxidants)
- ¼ cup steamed spinach or kale
- 1 tsp fish oil
- 2 tbsp bone broth
Serve warm, small portions for weak dogs alongside regular vet‑approved food.
🌿 Herbal & Natural Remedies
- Milk thistle → supports the liver (detox from red blood cell breakdown).
- Nettle leaf (tea or dried crushed form) → natural iron booster.
- Turmeric with black pepper → anti-inflammatory blood support.
- Astragalus + Reishi mushrooms → immune resilience (vet-approved supplements).
- Probiotics → restore gut health (antibiotics + parasite meds stress digestion).
Prevention
❌ No vaccine is currently available for Babesiosis in dogs.
Prevention relies only on tick control and responsible ownership.
✅ Tick Prevention
- Monthly chewables (NexGard, Simparica, Bravecto).
- Spot-ons or tick collars.
- Daily tick checks (groin, ears, armpits, between toes).
- Keep grass cut short, avoid tick-heavy brush/fields.
✅ Lifestyle Prevention
- Screen blood donors → only safe, tested blood in vet transfusions.
- Prevent dog fights (esp. with rescued strays) to avoid blood exposure.
- Isolate infected dogs from breeding programs.
✅ Holistic Tick Defense
- Apple cider vinegar rinse (1 tbsp in 2 cups water, spritz lightly).
- Neem oil spray (always heavily diluted).
- Rosemary/lemon-eucalyptus natural sprays.
(Natural options are supportive only — always pair with vet‑prescribed tick preventatives for reliability.)
Long-Term Outlook
- Early treatment → many dogs recover fully.
- Late or severe cases → risk of organ failure, collapse, and death.
- Chronic infections (esp. B. gibsoni) may relapse and need lifelong monitoring.
Dogs that recover can go on to live long, happy lives — but prevention and follow‑up blood checks are key.
Facts
- Babesia is named after Romanian scientist Victor Babeș, who discovered it in cattle in the 19th century.
- In the U.S., pit bulls and working dogs are more prone to B. gibsoni, sometimes due to bite injuries during fights.
- It’s considered a “veterinary blood safety” disease — all donor dogs must be screened for Babesia.
Common Questions
Can humans catch babesiosis from dogs?
Not directly — humans get their own Babesia species from tick bites, not dogs.
Can a dog be reinfected?
Yes. Surviving Babesia doesn’t create lasting immunity — another tick can reinfect later.
Can babesiosis just go away untreated?
No — in fact, it often worsens and can be fatal. Early treatment is critical.
Why do some dogs relapse?
Certain strains like B. gibsoni are very stubborn and can “hide” inside red cells, evading full treatment.
Final Takeaway
Babesiosis is a dangerous tick-borne parasite that destroys red blood cells and can cause rapid anemia, dark urine, jaundice, and collapse.
Fast veterinary treatment with anti-parasitic drugs and transfusions can save lives, while nutrition, herbs, and immune boosting foods help dogs heal and regain strength.
Since no vaccine exists, tick prevention and responsible care are the only true safeguards.

